Dr. Pradnya’s Tooth Art Dental Clinic

Elevating Smiles with Expert Care and a Gentle Touch

Book Appointment

Need Dental Services?

Call: +91 7276860224

Opening Hours

Mon to Sat 10:00 am - 01:30 pm |
05:30 pm - 09:00 pm

Sunday- Appointment Only

About Us

Dr. Pradnya’s Tooth Art Dental Clinic, Nigdi

At Dr. Pradnya’s Tooth Art Dental Clinic, we believe a healthy smile builds confidence and improves overall well-being. Founded by Dr. Pradnya Mahajan , our clinic in Nigdi is dedicated to providing gentle, advanced, and personalized dental care for patients of all ages.

We offer a wide range of treatments including pediatric dentistry, braces & aligners, dental implants, root canal therapy, cosmetic dentistry, and preventive care. With a child-friendly environment, modern technology, and a compassionate approach, we ensure every patient feels relaxed and cared for.

  • Painless Root Canal Treatments (Single Sitting RCT)
  • Natural-Looking Composite Fillings
  • Smile Makeovers & Aesthetic Dentistry
  • Ceramic & Zirconia Crowns & Bridges
  • Full Mouth Rehabilitation
  • Dental Implants & Orthodontics
Book Appointment
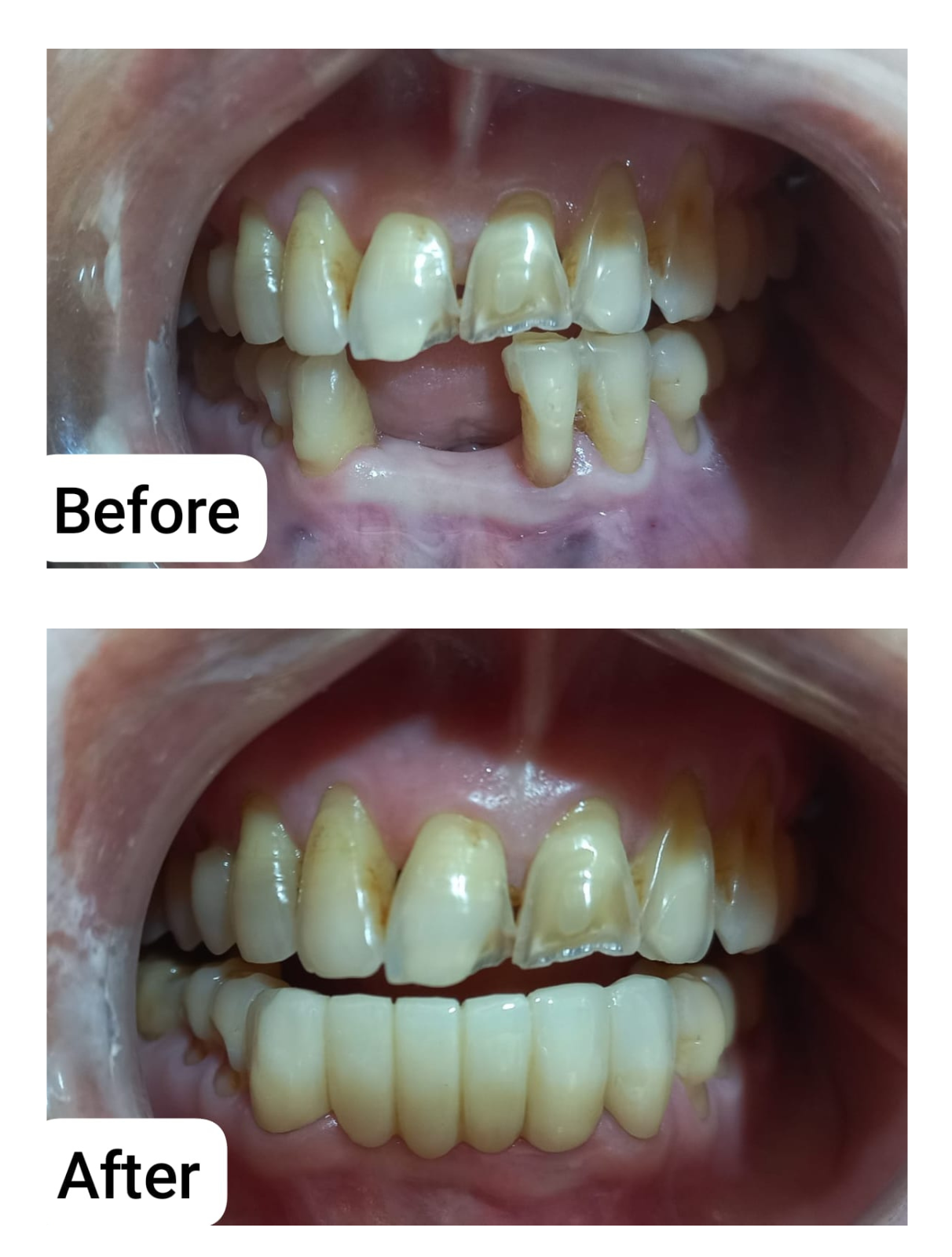
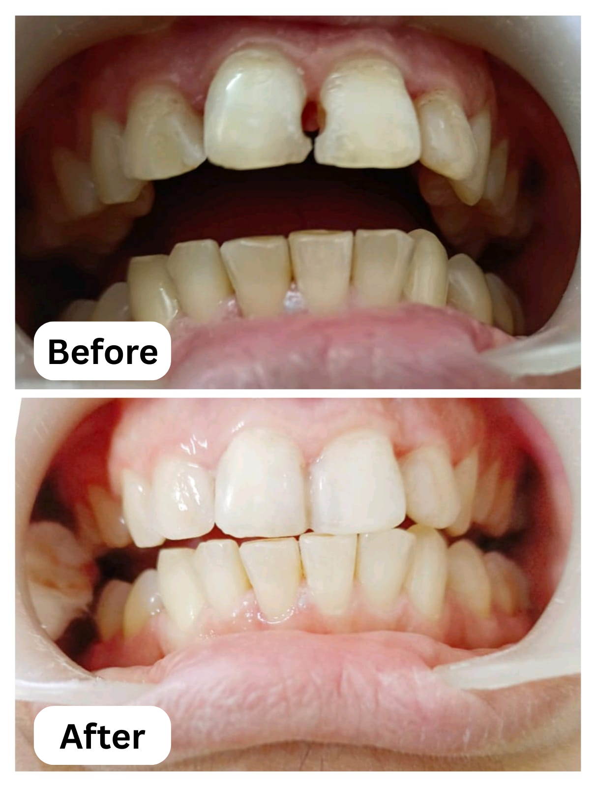
Our Results

Dental Treatments at Dr. Pradnya’s Tooth Art Dental Clinic

Explore our wide range of advanced dental care services – from preventive care to cosmetic enhancements – all designed to give you a healthy, confident smile.

Our Services

Complete Care for Every Smile

From pain-free root canals to smile makeovers, Dr. Pradnya’s Tooth Art Dental Clinic offers reliable and advanced dental care for all age groups under one roof.

Aesthetic Dentistry

Aesthetic Dentistry

Smile makeovers with laminates, veneers, and natural-looking fillings.

Read more
Root Canal

Root Canal Treatment

Painless single-sitting RCT with expert care and latest technology.

Read more
Orthodontics

Orthodontics

Correction of malaligned teeth with braces and modern techniques.

Read more
Dental Implants

Dental Implants

Long-lasting tooth replacements with high success rate and precision.

Read more
Cosmetic Dentistry

Cosmetic Dentistry

Teeth whitening, smile enhancements, and dental aesthetics.

Read more
Dental Filling

Dental Filling

Tooth-colored composite restorations that look and feel natural.

Read more
Pediatric Dentistry

Pediatric Dentistry

Specialized, gentle dental care for children of all age groups.

Read more
General Dentistry

General Dentistry

Routine checkups, cleaning, diagnosis, and oral health maintenance.

Read more
Tooth extraction

Tooth extraction

Tooth extraction is the process of carefully removing a tooth from its socket in the bone.

Read more

0+

Happy Patients

0+

Teeth Whitened

0+

Dental Implants

0+

Years of Exeperience
Why Choose Us - Dr. Pradnya’s Tooth Art Dental Clinic

Advanced Dentistry with a Personal Touch.

At Dr. Pradnya’s Tooth Art Dental Clinic, Nigdi, we go beyond just treating teeth – we care for your smile with compassion, precision, and trust. Here’s why patients choose us for their dental needs:

Expert Care by Dr. Pradnya –

Experienced dentist with a gentle, patient-focused approach.

Comprehensive Treatments

From kids’ dentistry to root canals, braces, implants & cosmetic care – all under one roof.

Painless & Stress-Free Procedures

Advanced techniques to ensure maximum comfort.

Child-Friendly Environment

A welcoming space that makes dental visits easy for children.

Dental Clinic Akurdi
Root Canal Specialist PCMC
Dr. Pradnya Mahajan
Meet Our Doctor

Committed to Your Smile

Dr. Pradnya Mahajan , the founder of Tooth Art Dental Clinic, Nigdi, is a dedicated and compassionate dentist committed to providing gentle, precise, and patient-focused dental care. With years of experience in general and advanced dentistry, she has built a strong reputation as a trusted dentist in Nigdi for families seeking quality treatment in a comfortable environment.

Dr. Pradnya mahajan

Dr. Pradnya Mahajan

Everything You Need to Know

Frequently Asked Questions

Is root canal treatment painful?
Not at all. At Dr. Pradnya’s Tooth Art Dental Clinic, Dr. Pradnya mahajan specializes in painless, single-sitting RCTs using modern techniques to ensure comfort throughout the procedure.
Do you treat failed RCT or crown issues?
Yes, we specialize in correcting failed root canal treatments and replacing ill-fitting or damaged crowns with durable and aesthetic options like ceramic and zirconia.
What makes Dr. Pradnya’s Tooth Art Dental Clinic different?
We believe in honest diagnosis, transparent treatment plans, and offering long-term solutions instead of temporary fixes. Dr. Pradnya Mahajan personally explains each step and answers all your concerns.
Do you offer pediatric dental services?
Yes, we provide gentle and child-friendly dental care in a comforting environment for kids of all ages.
What are the options to replace missing teeth?
Depending on your case, we offer dental implants, fixed bridges, and removable dentures—all planned for long-term function and aesthetics.
How can I book an appointment?
You can call us directly. We also provide flexible scheduling to accommodate your convenience.
Testimonials

Our Happy Customers

Join thousands of happy patients who trust us for gentle, expert care and beautiful smiles. Your perfect dental experience starts here!

Ready to book your dental care session?

Dr. Pradnya’s Tooth Art Dental Clinic
Our Services
Contact Us
Mon to Sat 10:00 am - 01:30 pm | 05:30 pm - 09:00 pm Sunday- Appointment Only
Shop No. 2, Building 2A, Police Vasahat, next to PCCOE College, Nigdi, Pune, Maharashtra 411044
toothartdentalclinic1@gmail.com
+91 7276860224
About Us

At Dr. Pradnya’s Tooth Art Dental Clinic, Nigdi, we provide gentle and advanced dental care including root canals, braces, implants, and pediatric dentistry in a comfortable, patient-friendly environment.